 |
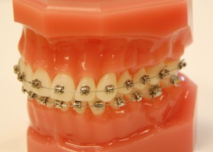
ข้อดีของการ จัดฟันแบบโลหะ
เครื่องมือชนิดนี้ มีความแข็งแรงทนทาน และมีผิวเรียบ มันวาว จึงทำให้คราบเศษอาหารและจุลินทรีย์ติดได้ยากกว่า และเนื่องจากเป็นติดตั้งเครื่องมือจัดฟันแบบด้านนอก จึงทำให้ง่ายแก่การทำความสะอาดและดูแลรักษา และยังสามารถเลือกสียางจัดฟัน ได้มากขึ้น ตามความต้องการของผู้ติดเครื่องมือด้วย การจัดฟันชนิดนี้ยังมีราคาที่ไม่สูงนัก ดังนั้นค่ารักษาจึงไม่แพง ทำให้เป็นที่นิยมของผู้ที่ต้องการจัดฟันทั่วไป |
ข้อควรระวัง
ควรหมั่นดูแลเครื่องมือจัดฟันให้สะอาดอยู่เสมอ และให้ดูแลตามคำแนะนำ และพบทันตแพทย์ตามกำหนด เพื่อเป็นผลสำเร็จของการรักษา และหากเกิดความผิดปกติของเครื่องมือภายในช่องปาก ให้พบหรือปรึกษาทันตแพทย์ เพื่อรักษาอาการผิดปกติเหล่านั้น
ค่าใช้จ่าย
จัดฟันแบบโลหะนี้ จะมีค่าใช้จ่ายประมาณ 30,000 – 50,000 บาทครับ และขึ้นอยู่กับปัญหาทางด้านสุขภาพฟัน และโครงสร้างฟันว่ามีมากน้อยแค่ไหน ซึ่งเหตุผลนี้ แพทย์จะเป็นผู้กำหนด และประเมินสภาพฟันอีกครั้งหลังจากการตรวจครับ
การจัดฟันด้านนอกแบบคริสตัลใส / สีเหมือนฟัน (Crystal Clear Braces)
การจัดฟันชนิดนี้ เป็นการพัฒนาอุปกรณ์ของ
จัดฟันแบบสีเหมือนฟันด้วยการใช้วัสดุเซรามิกแบบพิเศษ หรือคริสตัลพิเศษแทนการใช้แบบโลหะ
การจัดฟันแบบสีเหมือนฟันชนิดนี้ เป็นมักเห็นได้ตามทั่วไปอีกแบบหนึ่ง แต่ไม่อาจเป็นที่นิยมมากนักในหมู่วัยรุ่น แต่มักจะพบได้ในกลุ่มคนไข้ผู้ใหญ่ หรือผู้ที่ต้องการจัดฟัน แต่ไม่ต้องการเป็นที่สะดุดตา โดยทำได้คือใช้เครื่องมือ แบบใสที่ทำมาจากคริสตัล ซึ่งจะมีลักษณะ ไม่มีสีไว้ที่ผิวด้านหน้า แล้วใส่ลวดผ่านร่องของ Bracket และใช้ยางสีใสรัดเข้ากับเครื่องมือ
 |
ข้อดีของการจัดฟันด้านนอกแบบคริสตัลใส คือ
เหมาะสำหรับผู้ที่ไม่อยากให้เห็นเป็นที่สะดุดตาในการจัดฟัน และเนื่องจากเป็นเครื่องมือที่ทำจากด้านนอก จึงทำการรักษาและดูแลทำความสะอาดได้ง่ายกว่า เครื่องมือแบบด้านใน
ข้อควรระวัง
เครื่องมือจัดฟันแบบนี้ถึงแม้จะมีความแข็งแรงและผิวที่เรียบมันวาว แต่ก็ยังน้อยกว่าเครื่องมือแบบโลหะ จึงควรที่จะต้องระมัดระวังและดูแลเป็นพิเศษ |
ค่าใช้จ่าย
การจัดฟันด้านนอกแบบคริสตัลใสนี้ จะมีค่าใช้จ่ายในการรักษา ประมาณ 60,000 – 90,000 บาท และค่าเครื่องมือพิเศษ 15,000 บาท (ต้องจ่ายเพิ่มจากค่ารักษา) และขึ้นอยู่กับปัญหาทางด้านสุขภาพฟัน และโครงสร้างฟันว่ามีมากน้อยแค่ไหน ซึ่งแพทย์จะเป็นผู้กำหนดและประเมินสภาพฟันอีกครั้งหลังจากการตรวจ
จัดฟันแบบ DAMON SYSTEM
-
จัดฟัน DAMON SYSTEM จะช่วยให้คุณมีรอยยิ้มและความมั่นใจที่ดีขึ้น
-
จัดฟัน DAMON SYSTEM มีระบบใหม่ได้มีการพัฒนาให้มีการรักษาที่เร็วขึ้น
- ไม่ต้องถอนฟันโดยไม่จำเป็น
-
จัดฟัน DAMON SYSTEM สบายกว่า โดยปราศจากแรงดึงแน่นในปาก
- มาพบแพทย์น้อยครั้งกว่าปกติ
 |
วิธีการรักษา
ใช้หลักการจัดฟัน โดยอาศัยแรงยึดดึง จะช่วยทำให้ฟันเคลื่อนที่ ไปยังตำแหน่งที่แพทย์ได้กำหนด นอกจากนี้ ผู้ป่วยก็ไม่สามารถถอดเครื่องมือเองได้ ดังนั้นจึงต้องมาพบแพทย์เป็นประจำ ตามกำหนดเพื่อทำการเปลี่ยนเครื่องมือครับ
ระยะเวลาในการรักษา
โดยทั่วไปแล้ว การจัดฟันชนิดนี้ จะต้องใช้ระยะเวลา 2-5 ปี ในการรักษา ทั้งนี้ขึ้นอยู่กับปัญหาทางด้านสุขภาพฟัน และโครงสร้างฟันของแต่ละคน โดยแพทย์จะเป็นผู้กำหนด และดูแลเรื่องนี้ครับ |
ค่าใช้จ่าย
สำหรับค่าใช้จ่ายในการจัดฟัน แบบ Damon นี้ จะมีราคาประมาณ 60,000 – 90,000 บาท และค่าเครื่องมือ 20,000 บาท (จ่ายเพิ่มจากค่ารักษา) ขึ้นอยู่กับปัญหาทางด้านสุขภาพฟัน และโครงสร้างฟันว่ามีมากน้อยแค่ไหน ซึ่งแพทย์จะเป็นผู้กำหนดและ ประเมินสภาพฟัน หลังการตรวจอีกครั้ง
ผู้ที่เหมาะกับการรักษานี้
การจัดฟัน แบบ Damon นี้ สามารถจัดได้ทุกเพศ ทุกวัย ทั้งนี้ขึ้นอยู่กับสภาพฟันของแต่ละคน และจากการพิจารณาจากทันตแพทย์เท่านั้น อย่างไรก็ตามคุณควรปรึกษาแพทย์ เท่านั้น
ขอขอบคุณแหล่งแบ่งปันข้อมูลและรูปภาพจาก