ล็อกอิน
สมัครสมาชิก
Language:
THA
|
ENG
แจ้งโอนเงิน
ตะกร้าสินค้า :
0
ชิ้น (
0.00
บาท)
หาใน ...
ผลิตภัณฑ์
ข่าวสารและโปรโมชั่น
เกร็ดความรู้
ลูกค้าของเรา
เกร็ดความรู้
หน้าหลัก
>
เกร็ดความรู้
พึงระวัง! ไม้จิ้มฟัน
พึงระวัง…ไม้จิ้มฟัน นำมากัดเล่นเสี่ยงเชื้อโรคเข้าปาก หลาย คนคงจะเคยประสบกับปัญหามีเศษอาหารติดอยู่...
อ่านต่อ
แปรงสีฟันพาหะโรคร้ายโดยไม่รู้ตัว
หากใช้นานเกินไปหรือเก็บรักษาไม่ถูกสุขลักษณะ แปรงสีฟันอาจกลายเป็นพาหะของโรคร้ายโดยที่คนใช้ไม่รู้ตัวด้...
อ่านต่อ
กลิ่นปากบอกอะไร
กลิ่นปาก หรือ กลิ่นลมหายใจ สื่อถึงอาการของโรคต่าง ๆสิ่งหนึ่งที่ไม่ควรมองข้ามนั่นคือ กลิ่นปาก หรือ กล...
อ่านต่อ
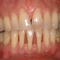
เหงือกร่น
เหงือกร่นเป็นภาวะที่เหงือกได้ร่นลงไปหารากฟัน ทำให้เนื้อฟันสัมผัสเชื้อแบคทีเรียได้มากขึ้น เกิดคราบ...
อ่านต่อ
ถาม-ตอบ เกี่ยวกับคราบหินปูน
ถาม : คราบฟันหรือหินปูนเกิดขึ้นได้อย่างไร ตอบ : : หินปูนหรือหินน้ำลาย คือ แผ่นคราบจุลินทรีย์ที...
อ่านต่อ
ความแตกต่างของไทย - ญี่ปุ่น ว่าด้วยข้อมูลตัวเลข
บทความจากนิตยสาร Thai Dental Volume 5 Issue 23 July - September 2012 โดย ทพ.ธงชัย วชิโรจน์ไพศาล ...
อ่านต่อ
Page: 5 of 26
Go to page:
ร่วมงานกับเรา
|
ติดต่อเรา
|
แผนผังเว็บไซต์
|
ข้อตกลงและเงื่อนไขในการสั่งซื้อ