ล็อกอิน
สมัครสมาชิก
Language:
THA
|
ENG
แจ้งโอนเงิน
ตะกร้าสินค้า :
0
ชิ้น (
0.00
บาท)
หาใน ...
ผลิตภัณฑ์
ข่าวสารและโปรโมชั่น
เกร็ดความรู้
ลูกค้าของเรา
เกร็ดความรู้
หน้าหลัก
>
เกร็ดความรู้
วิธีดูแลช่องปากด้วยสมุนไพร
ถ้าพูดถึงสุขภาพช่องปากแน่นอนว่าก็ดูแลกันอยู่ทุกวันอยู่แล้ว อยู่ที่แต่ละคนมีวิธีในการดูแลทำความสะอาดอ...
อ่านต่อ
แปรงสีฟันไฟฟ้า VS แปรงสีฟันธรรมดา อย่างไหนดีกว่ากัน?
บทความโดย ทพญ.อชิรญา ดวนด่วนกำเนิดของแปรงสีฟันไฟฟ้า เริ่มมาจากการประดิษฐ์คิดค้นแปรงสีฟันสำหรับผู้พิก...
อ่านต่อ
ทายซิ...ใครคือผู้ประดิษฐ์แปรงสีฟันคนแรก?
เชื่อหรือไม่ว่าผู้ที่ประดิษฐ์แปรงสีฟันขึ้นมาเป็นคนแรกของโลกคือนักโทษชาวอังกฤษ ผู้ถูกจับในข้อหาก่อควา...
อ่านต่อ
รายการสารคดี สุขภาพช่องปากสดใส วัยสูงอายุ
รายการดีๆเกี่ยวกับช่องปากวัยสูงอายุของมหาวิทยาลัยเชียงใหม่ ตอนที่ 1 : http://www.yo...
อ่านต่อ
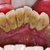
คราบหินปูนในช่องปาก คืออะไร
ถาม : คราบฟันหรือหินปูนเกิดขึ้นได้อย่างไร ...
อ่านต่อ
การรักษาการนอนกัดฟัน
เมื่อทันตแพทย์ปรับการสบของฟันให้ถูกต้องแล้ว การนอนกัดฟันอาจจะลดน้อยลงหรือหายไป หรือทันตแพทย์...
อ่านต่อ
Page: 9 of 26
Go to page:
ร่วมงานกับเรา
|
ติดต่อเรา
|
แผนผังเว็บไซต์
|
ข้อตกลงและเงื่อนไขในการสั่งซื้อ